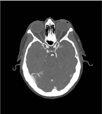
Description
This phantom simulates a contrast medium enhanced head in arterial phase (CT angiography). It covers the vertex to the foramen magnum.
The phantom has three intracranial aneurysms of the middle cerebral artery (MCA), anterior communicating artery (ACoA), and the basilar artery.
The phantom can be used in CT (including CBCT) to evaluate and optimize imaging performance and AI-enabled diagnosis. It is also suited for training purposes.
The phantom provides a detailed and realistic simulation of common brain pathologies, soft and bone tissues. Air voids are filled with a cellulose-polymer composite of approx. -160 HU.
Diagnostic features - Aneurysms:
• Middle cerebral artery (MCA)left side
• Anterior communicating artery (ACoA)left side
• Basilar artery left side



