Description
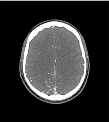
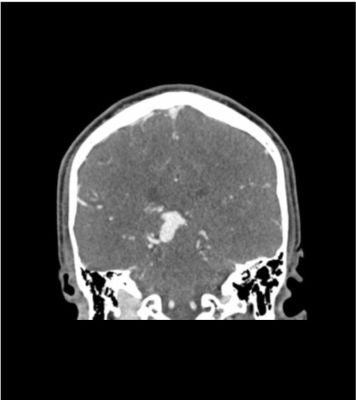
This phantom simulates a contrast medium-enhanced head in the arterial phase (CT angiography). It covers the vertex to the foramen magnum.
The right hemisphere has an arteriovenous malformation.
The phantom can be used in CT (including CBCT) to evaluate and optimize imaging performance and AI-enabled diagnosis. It is also suited for training purposes.
The phantom provides a detailed and realistic simulation of vascular structures, soft and bone tissue, including small details such as lymph nodes. Air voids are filled with a cellulose-polymer composite of approx. -160 HU.
Diagnostic Features:
- Realistic simulation of head vessels, bone and soft tissues.
- Arteriovenous malformation of the right hemisphere.



