Description
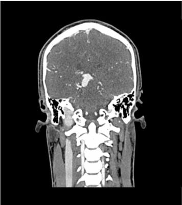
This phantom simulates a contrast medium-enhanced head in the arterial phase (CT angiography). It covers the vertex to the fifth cervical vertebra. The right hemisphere has an arteriovenous malformation.
The phantom can be used in CT (including CBCT) to evaluate and optimize imaging performance and AI-enabled diagnosis. It is also suited for training purposes.




