Description
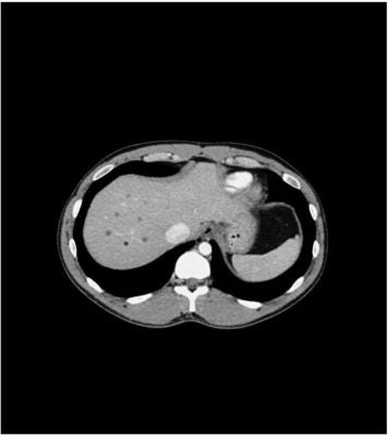
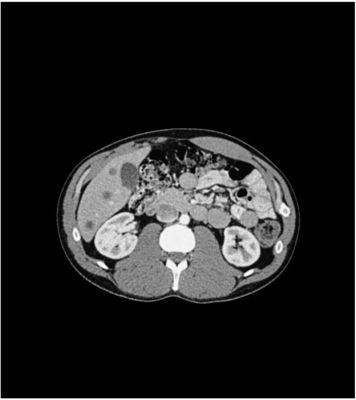
This phantom simulates a contrast medium-enhanced abdomen in the portal venous phase. It covers the eleventh thoracic vertebra to the fourth lumbar vertebra (partially included).
The phantom has 35 rod-shaped liver lesions with 5 to 15 mm diameter and lesion contrasts of 25 to 110 HU to the surrounding liver. The phantom can be used in CT (including CBCT) to evaluate and optimize imaging performance and post-processing applications, including AI-enabled applications. It is also suited for training purposes. The phantom provides a detailed and realistic simulation of soft and bone tissue. Air voids are filled with a cellulose-polymer composite of approx. -160 HU.



