Description
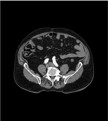
This phantom simulates a contrast medium-enhanced abdomen in the arterial phase. It covers the first lumbar vertebra to the fourth sacral vertebra. It has an infrarenal abdominal aortic aneurysm.
The phantom can be used in CT (including CBCT) to evaluate and optimize imaging performance and post-processing applications, including AI-enabled applications. It is also suited for training purposes. The phantom provides a detailed and realistic simulation of soft and bone tissue. Air voids are filled with a cellulose-polymer composite of approx. -160 HU.



